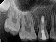
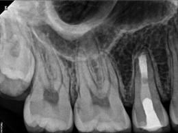
Root Canals
Dr. Joseph Jung is a general practitioner who has a passion for complete and thorough Root Canal Treatments (RCT) to patients. Those who already have a dentist and want to get RCT treatments by Dr. Jung, our office provides full information to your dentist about the diagnosis, before and after treatment x-rays. Then your dentist will finish restorative works as needed.
Root Canal Treatment also is known as Endodontics is a branch of dental treatments recognized by the American Dental Association involving treatment of the pulp (root canal) and surrounding tissues of the tooth. When you look at your tooth in the mirror, what you see is the crown. The rest of the tooth, the portion is hidden beneath the gum line, is called the root. Though the outer portion of the root is a hard tissue called dentin, the inside channel or "root canal" contains a pulp of soft tissue, blood vessels, and nerves. Bacteria that are introduced into the pulp as a result of tooth decay, periodontal disease, tooth fracture or other problems, can severely damage the pulp. When that happens, dentists remove the diseased pulp to save the tooth and prevent further infection and inflammation. After successful endodontic treatment, the tooth continues to perform normally.
Microscopic Endodontics
At Windhaven Dental we take every reasonable step to remain at the forefront of our profession.
Among other advanced techniques and instruments utilized by our office, surgical loupes with fiber optic illumination, and the surgical operating microscope have opened up entirely new vistas for the treatment of both non-surgical and surgical endodontics. Due to the enhanced illumination and high magnification optics, calcified canals can be optimally located. Additionally, retreatment of endodontic cases that have failed due to separated instruments, separated posts, and repair of perforations can now be managed with greater efficiency and success. These cases, in the past, could be managed only by surgical approaches that had a lower success rate.
In those cases in which surgical endodontics is the treatment of choice, the increased magnification and illumination provided allows for enhanced visualization of the surgical field. This, in turn, allows for more efficient surgical technique and greater ability to achieve success in surgical endodontics.
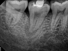
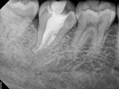
Root Canal Treatment
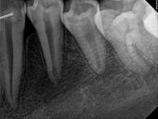
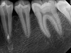
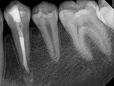
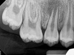
Every tooth has different numbers of roots and canal systems. With the help of magnification and high tech equipment, Dr. Jung can locate and treat the canals including MB2 on upper molars and MM on lower molars.
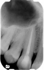
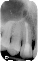
Surgical Endodontics
Success rates for the non-surgical endodontic therapy are in excess of 95% depending on the condition of the involved tooth (cracks, fracture, and/or decays) and surrounding structure like periodontal conditions. Surgical endodontics procedures are usually undertaken when conventional endodontics are failed.
Apicectomy is the surgical removal of the end portion of a root. To achieve this, access to the root apex is gained via a tissue flap and then bone is removed around the root apex. The aim of apicectomy is to eradicate persistent infection in the periapical tissues and to eliminate the 'apical delta' of root canals that cannot be effectively sealed by conventional endodontics and to excise a root apex that cannot be sealed successfully due to anatomical anomalies such as marked root curvature. Root end will be filled with a medicament called MTA, or Mineral Trioxide Aggregate and finished the procedures.
Apexogenesis
This procedure encourages the root to continue development as the pulp is healed. The exposed pulpal tissue is covered with MTA. This will allow for the exposed tissue to heal against the MTA, keeping the pulpal tissues vital and encouraging further maturation and growth of the tooth. This process will enable the tip of the root (apex) to continue to close as the child gets older. In turn, the walls of the root canal will thicken, and the tooth will become stronger. If the pulp heals, no additional treatment will be necessary. The more mature the root becomes, the better the chance for the survival of maturing.
Apexification
In this case, the unhealthy pulp is removed. The MTA will be placed into the apical portion of the root to stimulate hard tissue to form near the root tip (approximately 4-5 mm's of MTA condensed carefully into the apical portion of the root). The coronal portion of the canal space is then filled with restorations to re-enforce the root and provide more structural integrity. The patient is recalled periodically to monitor the progress of the root-end closure, and decide whether other measures, like root end surgery, may be required.













